更新时间:2019-08-07 18:29
上唇的唇红线呈弓形称为唇弓。在正中线稍低并微向前突起称为人中迹(人中切迹)。在其两侧的唇弓******点称为唇峰。上唇正中唇红呈珠状突起,...
更新时间:2019-08-07 18:29
医生,我牙缝大,吃东西老塞牙,怎么办? 医生,我牙缝太大,都不敢笑了,有方法治吗? 医生,我这门牙有缝,说话都漏风,能补起来吗? …...
更新时间:2019-08-07 14:12
牙齿健康现状分析 据第三次“全国口腔健康调查”数据显示,我国约有超过90%的公民有牙齿不齐、牙齿缺失、龋齿、松动等问题。 目前存在约的...
更新时间:2019-08-07 12:07
近日,有网友在看《极限青春》时发现了一个恐怖的场景:程潇趴在一个栏杆上,一阵风吹来,程潇的发际线显露无遗,看起来好像半个脑袋都秃了。程...
更新时间:2019-08-06 16:55
相信大家在生活中,经常可以听到这样的自我吐槽: 我的脸好大啊,看上去好丑! 脸上肉好多,明明只有90斤,看着像120斤! 有什么方法可以...
更新时间:2019-08-07 14:13
肚子上长了妊娠纹还能去掉吗?专家的回答是:选对方法才可以。如今怎样去除妊娠纹牵动着所有宝妈的心,但却不知道长了妊娠纹怎么补救才能去掉,介...
更新时间:2019-08-06 16:50
当!当当!当当当! 医美界的暧昧翘楚 卧蚕、眼袋、泪沟 它们同居了 住址:妹纸眼睛下面 单眼皮/双眼皮皆可 听说较近开撕了,事...
更新时间:2019-08-06 16:50
其实简单来讲,就是说若你的脸是“上宽下窄”的形式,就会在视觉上看起来小。通常情况下,大家看一个人脸的时候,目光注意其脸型较宽点,因此看...
更新时间:2019-08-06 16:49
根据数据统计,中国目前大概有2亿人受到脱发的困扰,目前脱发已经成为普遍的现象了。但正因如此,植发是当前很多人选择的医学方法,其果也让人很...
更新时间:2019-08-06 16:43
今天在诊室里,碰到个患者,问,王大夫,我在美容院调节了半年了为什么脸上的痘痘还是不好?而且花了很多的钱,每当听到这个问题的时候,心里说不...
更新时间:2019-08-06 16:38
如果你是以下几种情况,再做动鼻翼的打算: 单纯鼻翼肥大型: 鼻翼里住着某种或者几种“肥厚”的组织,显得鼻翼肥大,这种情况只需要把这...
更新时间:2019-08-05 16:57
有没有发现:做了眉毛却没有做美瞳线,眉毛会夺了眼睛的神采,所以很多明智的爱美人士会做眉毛的时候和美瞳线一起做。不过,源于自己平时画眼线...
更新时间:2019-08-05 12:23
五官之一的鼻子,被面相学定义为“财帛宫”,身体与物质财富。鼻子不但代表物质享受与身体健康,同时也与个性、自我关联。鼻子古代称作“面王”...
更新时间:2019-08-05 12:16
目前全世界有数以亿计的男性,女性甚至是儿童饱受脱发困扰,遗传、衰老、分娩、癌症调节、烧伤以及压力等都可能导致脱发。脱发虽然不会造成严重...
更新时间:2019-08-05 11:47
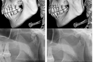
髁突骨折是颌面部较常见的骨折类型之一,占下颌骨骨折的25%~35%。对于髁突骨折的调节,虽然在临床上有很大争议,但开放复位内固定仍是多数髁突...
更新时间:2019-08-05 11:47
总是觉得自己的脸不够饱满、 太阳穴凹陷、额头扁塌......棱角明X 机会就是现在 有一个摇身一变 走向女神的方法给你 你要吗!...
更新时间:2019-08-05 11:47
惹人恨 该长肉的地方不长,不该长的地方都长了…↓↓ 招人爱 饱满的面部与胸部,更显年轻性感... 如何变“恨”为“爱”? 你需要...
更新时间:2019-08-05 11:47
较近 媒体对全国643所高校的大学生进行问卷调查 结果显示: 超5成大学生有脱发困扰,近8成大学生认为脱发影响学习生活 超9成大学生...
更新时间:2019-08-05 11:48
种植牙是人类的第三副牙齿,缺失牙朋友的福音。很多人因为对自己的牙齿不满意,所以想要进行种植牙手术。那么种植牙需要多长时间,需要注意一些...
更新时间:2019-08-05 11:48
如果脸上或身上长有各种黑痣,人们往往会称他们为“有痣青年”! 家住商丘梁园区的1岁男孩亮亮(化名),就是一个有痣宝宝:在他的面部右侧嘴角...
更新时间:2019-08-05 11:48
牙齿矫正是没有明确的年龄限制的,影响矫正果的,更重要的是牙体和牙周要健康。根据各人牙齿状况不同,开始矫正的年龄也不尽相同,下至三四岁的...
更新时间:2019-08-05 11:48
我一直都觉得大胸是很多女人的追求,大家会尝试加厚款、塑型款等各种让胸部显大的“神器”,我这个A罩杯的妹子当然也不能例外。但是,假的毕竟是...
更新时间:2019-08-05 11:48
精致的面 饱满的胸 纤细的身 修长的腿 哈哈,小薇兒敢说是任何女性羡慕的 可是~ 但是~ 如果~ 没有如此的美咋办 ...
更新时间:2019-08-03 21:00
你买那么多护肤品 是为了什么吗? 让皮肤好、不显老? 其实说到底, 就是为了预防皱纹生长! 但是你买的那些护肤品 真的能做到预...
更新时间:2019-08-03 20:56
你为什么这么红? 说到红,不得不提红血丝和红色痘印,其实这两种都跟毛细血管扩张有关,红色痘印,学名叫持续性炎症性红斑(PIE),主要原因为...
更新时间:2019-08-03 20:41
说起整形美容手术 大家反应就是韩国 日本 中国 各种网红脸 欧美人做整形美容手术的多吗? 欧美人天生轮廓深刻 几乎清一色高鼻梁大...
更新时间:2019-08-03 01:49
今天就让武汉第三医院的杨艳清医生给大家介绍介绍关于隆鼻! 鼻部手术手术一般有隆鼻术、鼻头缩小术、鼻背整形术、鼻孔缩小术、鼻小柱延长术、...
更新时间:2019-08-02 23:20
也许北鼻们日常护肤较为注重脸部的保养,每天往脸上堆了一层又一层昂贵的护肤品,可你的脖子呐? 随着年龄的增长,颈纹已悄悄出现了。 脖子...
更新时间:2019-08-02 23:19
什么是上睑下垂? 由于提上睑肌功能不全或丧失,或其他原因所致的上睑部分或全部不能提起,遮挡部分或全部瞳孔者称上睑下垂。患者为了能够看清...
更新时间:2019-08-02 23:18
每天早上较烦人的事情就是看到镜子里的草莓鼻,想把这些小黑点一个一个都去掉,但是美容师要告诉大家千万不要用手挤。因为,这样只是治根不治底...